2023年12月28日 11:31:39
专家简介

浦权:内科教授,主任医师,享受政府特殊津贴,原上海市第六人民医院血液科及血液病理研究室主任。是国内血液界尤其是血液病理学和骨髓增生异常综合征诊断领域的知名专家。
病史摘要
患者,男性,67岁。外地医院淋巴组织病理确诊为淋巴-浆细胞淋巴瘤(LPL),血液检查发现单克隆性IgM副蛋白,转来本科作骨髓活检病理检查。
实验室检查
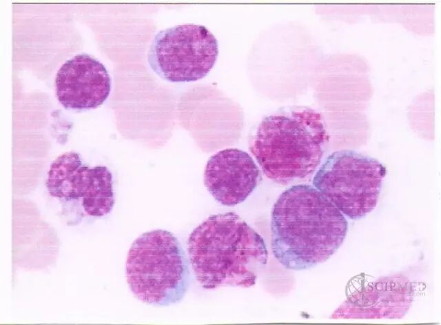
1.骨髓涂片细胞形态:见图1。
2.骨髓病理检查:骨髓切片组织病理(图2、3)。
标本处理:Bouin液固定,Hemapun865塑胶包埋,3μm厚,HGF染色,400×。
图1 骨髓涂片细胞形态
涂片示赘生性成熟小淋巴细胞和介于淋巴与浆细胞之间的中间型浆细胞样淋巴细胞,属典型LPL骨髓涂片细胞形态表现
图2 骨髓切片组织病理
切片示增生异常活跃,脂肪细胞基本消失。主质内显示主要由小淋巴细胞、浆细胞和浆细胞样淋巴细胞所组成的不典型淋巴-浆细胞间质-弥漫型浸润
图3 骨髓切片组织病理
切片内正常造血细胞少见,主质内骨髓浸润程度重,其间主要由小淋巴、浆细胞和浆细胞样淋巴细胞所构成
骨髓病理诊断
符合NHL-LPL骨髓间质-弥漫型浸润骨髓活组织图象。
点 评
LPL的诊断是排除性的,不要与其他伴浆细胞样特点的小淋巴细胞淋巴瘤相混淆。随着累及骨髓边缘区淋巴瘤认识的提高,真正的LPL病例数已明显降低。尽管如此,LPL仍是代表一种特殊的临床病理学实体。鉴别诊断包括带有浆细胞样特点的CLL、SLL、弥漫性大B-细胞淋巴瘤、滤泡性淋巴瘤、斗篷细胞淋巴瘤、边缘区淋巴瘤和其他浆细胞病。在鉴别过程中,血清IgM量并无可靠的鉴别意义。LPL与其他淋巴-浆细胞病之间的明确鉴别有时会有一定困难,但并未显示有明显的临床意义。